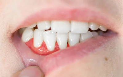
Gum disease: Causes, symptoms, prevention & treatment
Gum disease: Causes, symptoms, prevention & treatmentGum disease — often underestimated yet surprisingly widespread —...
Comprehensive guide to tooth-coloured fillings
Comprehensive guide to tooth-coloured fillingsIf you're looking for a dental solution that restores your teeth and...
Dental crowns restore teeth and rejuvenate smiles
Imagine being able to smile confidently again, knowing your teeth are strong and look as good as natural ones. Dental...
Dental sealants for little ones
Dental sealants for little onesImagine a shield that could protect your child’s teeth from cavities for years —...
Your guide to a successful wisdom tooth extraction
Your guide to a successful wisdom tooth extractionDid you know that the final set of teeth to arrive in your mouth...




