Dental sealants for little ones
Imagine a shield that could protect your child’s teeth from cavities for years — comfortably, quickly, and effectively. Sounds amazing, right? Dental sealants are just that: a superhero-like defence for those little teeth that are so vulnerable to decay.
Let’s uncover what dental sealants are, how they work their magic, and why they might just be one of the best decisions you can make for your child’s oral health. Keep reading to find out how to give your little one the gift of a healthy, cavity-free smile!
What are dental sealants?
Dental sealants are a protective shield designed to keep your child’s teeth safe from cavities. They are a thin, plastic coating that is carefully applied to the chewing surfaces of the back teeth — specifically the molars and premolars. These teeth have naturally deep grooves and fissures that can trap food particles and bacteria, making them more vulnerable to decay. By filling in these grooves, sealants create a smooth, protective barrier that helps prevent cavities from forming.



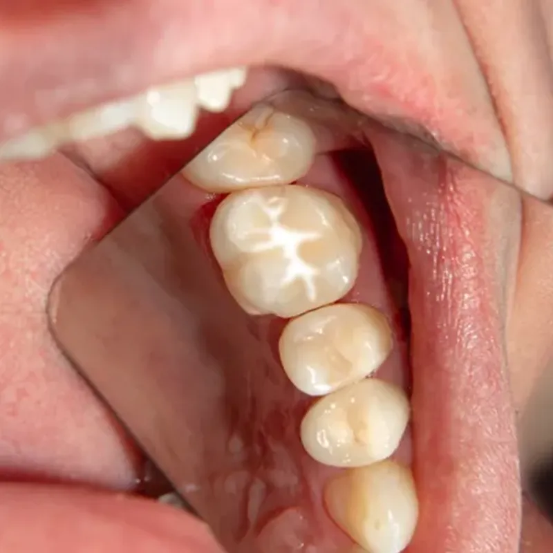
How do dental sealants work?
Dental sealants act like an invisible shield for your child’s teeth, protecting them from harmful decay. These sealants are made of a thin, resin-based plastic that is carefully applied to the deep grooves and pits on the chewing surfaces of the molars and premolars. Once in place, the sealant bonds directly to the tooth surface, covering those hard-to-reach crevices where food particles and plaque tend to get trapped.
By sealing off these vulnerable areas, sealants prevent harmful bacteria from accumulating and causing cavities. The application process is quick and painless — the material hardens almost instantly under a special curing light. With proper care and good dental hygiene, sealants can provide effective protection for several years, helping your child maintain a healthy, cavity-free smile.


Why are dental sealants important for little ones?
Cavity prevention
Children’s back teeth have deep grooves that easily trap food particles and bacteria, making them more prone to cavities. Dental sealants create a protective shield over these grooves, preventing decay before it starts and significantly lowering the risk of cavities.
Easy application
Applying dental sealants is a fast, straightforward process that typically takes just one visit. There’s no need for drilling or numbing, making it a completely pain-free experience — which is especially comforting for little ones.
Cost-effective solution
Preventing cavities with sealants is far more affordable than treating them. By investing in sealants, you can avoid costly dental procedures like fillings, crowns, or more extensive treatments down the road.
Long-lasting protection
Sealants are durable and can last several years with proper care. This long-term protection helps ensure your child’s teeth remain healthy, offering peace of mind that their smile is safeguarded.
Encourages good oral hygiene
When children know their teeth are protected, they’re often more motivated to practice good oral care, like brushing and flossing regularly. Sealants can help reinforce the importance of maintaining a healthy smile.

Benefits of dental sealants
Reduces cavities by 80%
Research shows that dental sealants are highly effective in cavity prevention. They can reduce the risk of cavities by up to 80% in the first 2 years after application and remain 50% effective for up to 4 years. Even after this period, sealants continue to provide some protection. During regular dental checkups, your dentist may recommend reapplication to ensure ongoing defence against decay.
Supports long-term oral health
Preventing cavities early helps set the stage for a lifetime of healthy teeth. By protecting your child’s teeth during these formative years, sealants contribute to strong oral health habits and minimise the risk of more complex dental issues in the future.
Completely painless
Applying dental sealants is a quick, simple, and pain-free process. There’s no need for drilling, numbing, or discomfort during or after the procedure — making it a stress-free experience for children.
When should you consider dental sealants?
Dental sealants are typically recommended when a child’s permanent molars and premolars begin to erupt, which generally happens between the ages of 6 and 12. Applying sealants early helps protect these vulnerable teeth before cavities have a chance to form. However, even baby teeth with deep grooves can benefit from sealants, especially if your child is at a higher risk for cavities.
Sealants aren’t just for children — some adults with healthy molars and deep grooves can also benefit from this preventive treatment. If you have teeth that are prone to decay, your dentist may recommend sealants to provide an extra layer of protection and help maintain long-term oral health.
How are sealants applied?
The process of applying dental sealants is quick, simple, and completely painless. Here’s a step-by-step breakdown:
1. Cleaning: Your dentist or dental hygienist will thoroughly clean your child’s teeth to remove any plaque, food particles, or debris. This ensures a smooth, clean surface for the sealant to adhere to.
2. Drying and preparation: Next, the teeth are carefully dried, and an etching gel is applied to gently roughen the surface. This helps the sealant bond securely to the tooth. After a few seconds, the gel is rinsed off, and the teeth are dried again.
3. Sealant application: The liquid sealant material is painted onto the chewing surfaces of the molars and premolars, filling in the deep grooves and fissures.
4. Hardening: A special curing light is used to harden the sealant quickly, transforming it from a liquid into a durable protective coating that bonds to the tooth surface.
5. Final check: Your dentist will check that the sealant has hardened properly and fits securely. Once confirmed, your child’s teeth are protected and ready to take on the challenge of cavity prevention!

Aftercare and maintenance of dental sealants
Dental sealants are low-maintenance, but regular dental checkups are essential to ensure they remain effective. During routine visits, the dentist will check if the sealants are intact and free from wear, chipping, or damage. If necessary, the sealants can be easily repaired or reapplied to continue providing optimal protection. Encouraging your child to maintain good oral hygiene — including regular brushing, flossing, and avoiding overly sticky foods — will help sealants last longer.
Are dental sealants safe?
Absolutely! Dental sealants are safe and effective. The sealant material is TGA-approved and has undergone extensive research to confirm its safety for children and adults alike. The application process is completely painless and non-invasive, posing no risk to your child’s teeth. Dental sealants provide a reliable and proven method for preventing cavities and maintaining a healthy smile.
Protect your child’s smile and oral health
Dental sealants are a simple, effective, and affordable way to protect your child’s teeth from cavities and decay. By safeguarding their teeth now, you’re helping preserve their healthy smile and reducing the need for more extensive treatments in the future. If your little one is due for their next dental checkup, be sure to ask your dentist about the benefits of dental sealants and how they can provide lasting protection.
For more tips on maintaining your child’s oral health and to learn about other dental treatments, explore our collection of helpful resources. Together, let’s keep those little smiles healthy and bright for years ahead!

About the author
Dr. Linda Chen is a highly experienced dentist dedicated to providing exceptional dental care to the residents of Annerley and surrounding areas. Her extensive experience ensures that you and your family receive personalised and compassionate care. With Dr. Linda’s expertise, you can trust that your oral health is in the best possible hands, and you can confidently achieve your dream smile.
Learn more about Dr. Linda and her practice: Complete Dental Works